MENU
Accueil
Produits
Consulting
Contact
Vous êtes ici :
Accueil
IMMUNOHISTOLOGIE
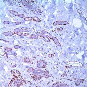
Caldesmon
Caldesmon
Téléchargements
fr_caldesmon_e89_rabmab_man_ivd_3_0